Los tumores en los huesos son una entidad poco frecuente en nuestra población. No obstante, en nuestra Clínica de Traumatología en Granada tenemos experiencia tratando los distintos tipos que existen.
Surgen de la alteración de las células del hueso provocando formaciones óseas distintas a la normalidad, alteraciones del patrón estructural y de las condiciones de fortaleza y elasticidad del hueso afectado.
Existen tumores benignos y malignos del hueso; por ello es de vital importancia la valoración específica y el tratamiento por Cirujanos Especializados en Traumatología Oncológica.
El cáncer primario de hueso ocurre cuando las células del hueso se alteran y comienzan a crecer sin control. Las metástasis óseas, mucho más frecuentes que el cáncer primario del hueso, ocurren cuando otro cáncer (mama, pulmón, próstata, etc. ) se implanta a distancia en cualquier hueso del organismo.
Siempre debemos estar atentos a los síntomas que nos refieren los pacientes, el tiempo de evolución y la respuesta a los tratamientos realizados. En los estudios de radiografías debemos igualmente observar con detenimiento cualquier alteración del hueso que se diferencie de los patrones radiológicos normales, con fin de detectar las anomalías óseas e iniciar el estudio y los tratamientos de una forma precoz y adecuada, muchas veces junto a un equipo multidisciplinar. En las radiografías debemos prestar atención a la localización de la lesión, su forma, tamaño, matriz ósea, la existencia de reacción perióstica o afectación de partes blandas.
Lesiones frecuentes en la infancia
Quiste óseo simple
Es una lesión ósea frecuente en la infancia y es con diferencia la fractura patológica más frecuente en los niños que presentan una lesión ósea. La localización más frecuente es en el húmero proximal, seguido del fémur proximal. Las imágenes radiológicas mostrarán una fractura o una fisuración de la cortical del huso sobre una lesión radiolucente redondeada con o sin expansión de las corticales. El tratamiento habitual suele precisar únicamente la inmovilización ortopédica con yeso pues la consolidación correcta de la fractura es frecuente. En las fracturas desplazadas o en la extremidad inferior puede ser necesaria la cirugía.
El fibroma no osificante o defecto fibroso cortical es la lesión benigna ósea que más frecuentemente encontraremos en los niños. Es una lesión particularmente asintomática detectada en su mayor parte de forma casual tras el estudio radiológico por otros motivos. Las características radiológicas muestran una lesión bien definida, excéntrica en la corteza del hueso, en ocasiones multilobulada y con bordes escleróticos. Puede existir adelgazamiento cortical aunque no hay reacción perióstica. Tiene predilección por las metáfisis de los huesos largos en los miembros inferiores.
Displasia fibrosa
La displasia fibrosa es una condición benigna donde el hueso normal se reemplaza por un tejido fibroso inmaduro asociado a fragmentos de hueso trabecular inmaduro. La mayor incidencia ronda los 10 años de edad y tiene predilección por los huesos largos. La forma más común es de forma aislada, aunque hay pacientes que pueden presentar múltiples lesiones, habitualmente relacionadas con síndromes y enfermedades específicas. La lesión típica radiológica es una lesión con apariencia de vidrio esmerilado, que adelgaza o insufla las corticales. Cuando son lesiones muy grandes o hay afectación del fémur cercano a la cadera, pueden precisar cirugía mediante legrado, osteosíntesis o aporte de injerto óseo.
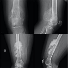
Quiste óseo aneurismático
El quiste óseo aneurismático, aunque es un tumor benigno, es localmente agresivo. Constituye alrededor del 2% de los tumores benignos del hueso en menores de 20 años. En las radiografías se suele observar una lesión lítica y expansiva con elevación del periostio y en ocasiones márgenes mal definidos que recuerdan a una lesión maligna, por lo que podría precisar biopsia y análisis anatomopatológico en algunos casos. La fractura patológica se produce hasta en el 30% de los casos, precisando estabilización quirúrgica en caso de fracturas desplazadas y tratamiento específico con aporte de injerto óseo para su tratamiento definitivo.
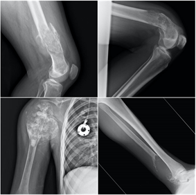
Osteocondroma
El osteocondroma es la neoplasia más frecuentemente observada en el esqueleto. El osteocondroma es un tumor benigno que contiene hueso y cartílago. Forma unas excrecencias óseas recubiertas por cartílago en torno a las metáfisis de los huesos largos. Es muy frecuente en las zonas cercanas a la rodilla. También puede aparecer en el hombro y en los huesos del antebrazo. Es frecuente detectarlos en la adolescencia, pues la lesión puede provocar fenómenos inflamatorios con el roce sobre los tejidos blandos periarticulares, músculos o tendones. En caso de dolor y limitación se puede realizar cirugía, habitualmente con buenos resultados.
Tumores malignos
Los sarcomas óseos son tumores óseos muy infrecuentes, con una incidencia aproximada de 1 caso por cada 100.0000 habitantes. El Osteosarcoma es el tumor óseo primario maligno más frecuente en la infancia, seguido por el el Sarcoma de Ewing. En las radiografías se suelen evidenciar lesiones líticas, permeativas, con destrucción ósea, reacción perióstica y afectación del los tejidos blandos cercanos. Estos pacientes ,además de dos proyecciones radiográficas, precisarán estudios complementarios de imagen, biopsia, estudio de extensión para descartar diseminación pulmonar, y valoración multidisciplinar. La cirugía oncológica de salvamento de extremidad y reconstrucción es la técnica de elección.
Lesiones frecuentes en los adultos
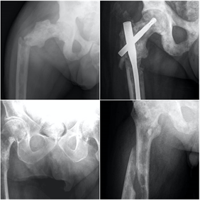
Las metástasis son las lesiones tumorales que más frecuentemente observaremos en el hueso. El avance continuo de los tratamientos oncológicos y la mayor supervivencia de los pacientes hacen que el traumatólogo se deba enfrentar cada vez con más frecuencia a estas lesiones.
El 80% de las metástasis óseas se relacionan, por orden de frecuencia con el cáncer de mama, pulmón, próstata y riñón. Las metástasis óseas que se localizan en huesos largos suelen localizarse en el fémur, con especial predilección por la zona de la cadera.
Los tumores primarios del hueso pueden aparecer en la médula ósea, como el mieloma múltiple o pueden formar los sarcomas óseos, que son tumores primarios malignos con una incidencia muy baja.
Metástasis en los huesos
En pacientes con historia previa de carcinoma, ante la presencia de dolor óseo debemos contemplar siempre la posibilidad de diseminación ósea metastásica. Las revisiones rutinarias de oncología suelen realizar rastreos periódicos a descartar posibles diseminaciones. En ocasiones la metástasis se descubre como una fractura, en ocasiones ante un traumatismo leve o incluso de forma espontánea. En otras ocasiones se detectan como microfracturas en los estudios oncológicos de gammagrafía o resonancia, tras un inicio insidioso de dolor en la zona.
El fémur es la localización principal, con predominio de la zona de la cadera. Otras localizaciones son la columna vertebral, la pelvis, los huesos planos y el húmero. En la espalda el dolor suele estar presente antes que los cambios radiográficos, mientras que cuando el dolor se localiza en los huesos largos suelen ya existir lesiones con riesgo de fractura.
En el cáncer diseminado el tratamiento de las metástasis suele ser paliativo, mediante estabilización de la fractura con osteosíntesis o implante de prótesis. En ocasiones la osteosíntesis se suplementa con aporte de cementos biológicos para aumentar la estabilidad o se realiza radioterapia complementaria. En casos de metástasis únicas, el tratamiento quirúrgico radical de la metástasis puede estar indicado, lo que hace necesaria la valoración conjunta de traumatología oncológica y oncología médica ante la detección de una lesión metastásica ósea en nuestra práctica.
Ante la sospecha de una fractura patológica de origen metastático debemos tener un enfoque multidiscilplinar, tanto traumatológico como oncológico, con fin de realizar tanto el tratamiento específico de la fractura como el estadiaje oncológico.
Encondroma
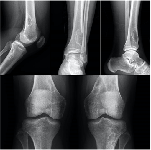
El Encondroma es una lesión que encontramos frecuentemente en las radiografías. En muchas ocasiones es una lesión asintomática. Es habitual encontrarlos en pacientes jóvenes como un hallazgo casual al realizar una radiografía por otro motivo. Supone la proliferación de cartílago maduro dentro del hueso.
El encondroma es el tumor primario más frecuente en las manos, particularmente en las falanges proximales. También es frecuente en la tibia, en el tercio superior del fémur y en el húmero.En las radiografías solemos observar una lesión bien delimitada con matriz variable, desde osteolítica hasta intensamente mineralizada cuya imagen característica es de calcificaciones puntiformes, en grumos, anillos o arcos. En los huesos pequeños pueden ser muy expansivos, adelgazando la cortical del hueso, provocando dolor y fracturas patológicas. En huesos grandes no suele haber expansión del las corticales, pudiendo aumentar su tamaño intramedularmente y avanzar hacia la diáfisis.
El encondroma asintomático habitualmente no precisa tratamiento. Cuando presentan gran tamaño, rompen las corticales del hueso o afectan a las partes blandas hay que descartar la degeneración maligna o condrosarcoma y deben evaluarse de forma especializada.
Tumor de células gigantes
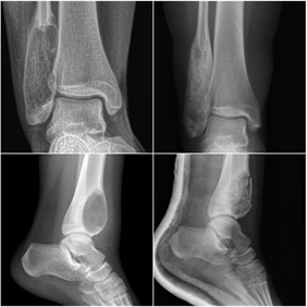
El tumor de células gigantes es una lesión tumoral benigna pero localmente agresiva. Provoca lesiones líticas expansivas que se localizan fundamentalmente en las metáfisis y epífisis de huesos largos. La edad de aparición está entre los 20 y 50 años y se suele localizar con mayor frecuencia en la zona cercana a la rodilla, en la epífisis distal del fémur, en la tibia proximal y en el radio distal. Se describe la presencia de metástasis pulmonares en casi el 5% de los pacientes. Habitualmente el paciente refiere una historia de dolor persistente en torno a la rodilla, con afectación progresiva de la funcionalidad. Las fracturas patológicas suelen aparecer fundamentalmente en casos avanzados, con gran debilidad cortical. En la rodilla puede asociar derrame articular y fracturas osteocondrales por debilidad del hueso subcondral.
Tumores malignos en el adulto. Sarcomas óseos.
Los sarcomas óseos son tumores primarios malignos muy raros que afectan fundamentalmente a niños y adolescentes, aunque también puede aparecer en pacientes mayores de 65 años, en relación con otras enfermedades o radioterapia. Debemos sospechar la presencia de un tumor maligno primario de hueso en pacientes con imágenes radiológicas de apariencia agresiva, como márgenes mal definidos, lesiones líticas con patrón permeativo, destrucción de las corticales, reacción perióstica e invasión de los tejidos blandos. Si detectamos una lesión de este tipo debemos siempre realizar una valoración multidisciplinar por equipos especializados en Traumatología oncológica y Oncología.
Tumores de partes blandas
Aunque la mayor parte de los bultos o tumores de tejidos blandos del sistema musculoesquelético corresponden a lesiones benignas, si detectamos una lesión en el tejido graso de reciente aparición, asociada a dolor o con crecimiento progresivo debemos siempre consultar con un Traumatólogo especializado en Tumores del sistema musculoesquelético.
Lipoma
El Lipoma es un tumor benigno formado por tejido graso maduro. Es el tumor de tejidos blandos más frecuentemente observado y solemos detectarlo habitualmente en personas adultas. Su forma característica es redondeada y encapsulada y suele afectar a los tejidos blandos subcutáneos debajo de la piel. Su tamaño suele rondar entre los 2 y los 10 centímetros y suelen presentar un crecimiento muy lento a lo largo de los años.
El diagnóstico del Lipoma suele realizarse mediante Ecografía, mostrando lesiones uniformes y encapsuladas de aspecto benigno. El tratamiento puede ser la observación y el control o en caso de dolor o gran tamaño se puede realizar cirugía de los mismos.
Liposarcoma
El Liposarcoma es la variante maligna de los tumores de los tejidos grasos.
Ante la sospecha de Liposarcoma debemos realizar un estudio más específico y una valoración desde un punto de vista especializado en Traumatología Oncológica.
Los estudios de Ecografía nos pueden ayudar a detectar ciertas características que diferencian el Lipoma del Liposarcoma, tales como márgenes mal definidos, características heterogéneas, neovascularización o afectación de planos más profundos como fascias, vasos o planos musculares.
Suelen precisar estudios más intensos, tales como la Resonancia magnética con contraste, pruebas de rastreo corporal y biopsias dirigidas, que deben realizarse por un equipo de radiología especializado en este tipo de lesiones. Es importante conseguir un diagnóstico Anatomopatológico para determinar el grado de malignidad y los tratamientos posteriores.
La cirugía del Liposarcoma es una cirugía que precisa un alto grado de formación y especialización. La cirugía debe tener una orientación de resección oncológica con márgenes amplios y libres de tumor. Habitualmente necesitarán valoración y tratamiento por parte de Oncología Médica y Radioterápica tras la intervención quirúrgica.
Artículos Relacionados
Portal del Paciente. Una sección diseñada para ofrecerte información clara y detallada sobre los problemas más comunes en Traumatología y Cirugía Ortopédica.
Fibroma No Osificante: Guía Integral para Entender y Tratar esta Lesión Ósea Benigna
Encondroma: Todo lo que Necesitas Saber Sobre esta Lesión Benigna de los Huesos
Tumor de células gigantes en la rodilla: avances, diagnóstico y tratamientos actuales
"Mi Compromiso es tu Salud y el Trabajo en Equipo. Intentaré explicarte qué es lo que te ocurre y trabajaremos juntos para resolver el problema. "
En DOCTOR EUGENIO DÍAZ utilizamos cookies propias y de terceros para el correcto funcionamiento y visualización de sitio web por parte del usuario, así como para analizar sus preferencias y hábitos de navegación. Puede obtener más información en nuestra Política de Cookies y configurar sus preferencias, aceptar y rechazar nuestras cookies.
Este sitio web utiliza cookies para mejorar su experiencia mientras navega por el sitio web. Fuera de estas cookies, las cookies que se clasifican como necesarias se almacenan en su navegador, ya que son esenciales para el funcionamiento de las funcionalidades básicas del sitio web. También utilizamos cookies de terceros que nos ayudan a analizar y comprender cómo utiliza este sitio web. Estas cookies se almacenarán en su navegador solo con su consentimiento. También tiene la opción de optar por no recibir estas cookies. Pero la exclusión voluntaria de algunas de estas cookies puede afectar su experiencia de navegación.
Las cookies necesarias son absolutamente esenciales para que el sitio web funcione correctamente. Estas cookies garantizan funcionalidades básicas y características de seguridad del sitio web, de forma anónima.
Cookie
Duración
Descripción
__cfduid
1 month
La cookie es utilizada por servicios cdn como CloudFare para identificar clientes individuales detrás de una dirección IP compartida y aplicar configuraciones de seguridad por cliente. No corresponde a ningún ID de usuario en la aplicación web y no almacena ninguna información de identificación personal.
_GRECAPTCHA
5 months 27 days
Google establece esta cookie. Además de ciertas cookies estándar de Google, reCAPTCHA establece una cookie necesaria (_GRECAPTCHA) cuando se ejecuta con el propósito de proporcionar su análisis de riesgo.
cookielawinfo-checbox-analytics
11 months
Esta cookie está configurada por el complemento de consentimiento de cookies de GDPR. La cookie se utiliza para almacenar el consentimiento del usuario para las cookies en la categoría "Análisis".
cookielawinfo-checbox-functional
11 months
La cookie está configurada por el consentimiento de cookies de GDPR para registrar el consentimiento del usuario para las cookies en la categoría "Funcional".
cookielawinfo-checbox-others
11 months
Esta cookie está configurada por el complemento de consentimiento de cookies de GDPR. La cookie se utiliza para almacenar el consentimiento del usuario para las cookies en la categoría "Otro".
cookielawinfo-checkbox-advertisement
1 year
La cookie se establece mediante el consentimiento de cookies de GDPR para registrar el consentimiento del usuario para las cookies en la categoría "Publicidad".
cookielawinfo-checkbox-necessary
11 months
Esta cookie está configurada por el complemento de consentimiento de cookies de GDPR. Las cookies se utilizan para almacenar el consentimiento del usuario para las cookies en la categoría "Necesarias".
cookielawinfo-checkbox-performance
11 months
Esta cookie está configurada por el complemento de consentimiento de cookies de GDPR. La cookie se utiliza para almacenar el consentimiento del usuario para las cookies en la categoría "Rendimiento".
viewed_cookie_policy
11 months
La cookie está configurada por el complemento de consentimiento de cookies de GDPR y se utiliza para almacenar si el usuario ha dado su consentimiento o no para el uso de cookies. No almacena ningún dato personal.
Las cookies analíticas se utilizan para comprender cómo los visitantes interactúan con el sitio web. Estas cookies ayudan a proporcionar información sobre métricas, el número de visitantes, la tasa de rebote, la fuente de tráfico, etc.
Cookie
Duración
Descripción
_ga
2 years
Esta cookie es instalada por Google Analytics. La cookie se utiliza para calcular los datos de visitantes, sesiones y campañas y realizar un seguimiento del uso del sitio para el informe de análisis del sitio. Las cookies almacenan información de forma anónima y asignan un número generado aleatoriamente para identificar visitantes únicos.
_gid
1 day
Esta cookie es instalada por Google Analytics. La cookie se utiliza para almacenar información sobre cómo los visitantes usan un sitio web y ayuda a crear un informe analítico de cómo está funcionando el sitio web. Los datos recopilados, incluido el número de visitantes, la fuente de donde provienen y las páginas, se muestran de forma anónima.